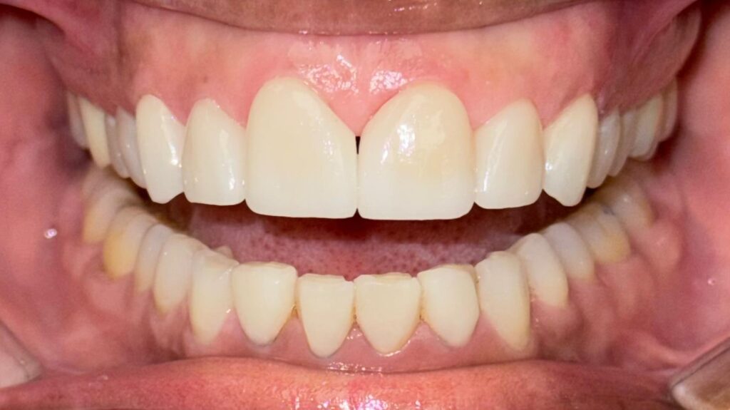
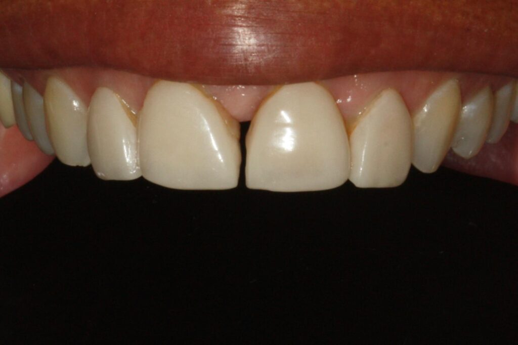
Porcelain veneers are one of the most transformative procedures in cosmetic dentistry, and one of the most misunderstood. Patients often come into a cnline, but still feeling unsure about what the actual process looks like from start to finish.
The short answer: getting porcelain veneers typically involves two to three appointments over the course of a few weeks. Your first visit is a consultation. Your second involves preparing the teeth and taking impressions. Your third is the placement of your final veneers. Each step matters, and each one is worth understanding before you commit.
Here is a clear, honest breakdown of what the veneer process looks like at All Smiles Dental, and what you can expect at every stage.Consultation at All Smiles Dental in Fort Lauderdale having done a lot of research o
First, Are Porcelain Veneers the Right Choice for You?

Before any preparation or placement happens, the right dentist will make sure veneers are actually the best solution for your goals. Veneers are a strong option for teeth that are chipped, stained, worn down, slightly misaligned, or uneven in size. They are not a one-size-fits-all fix, and a good cosmetic dentist will tell you that clearly.
Dr. Natalia Alvarado, DMD, takes a thorough look at each patient’s oral health, bite, and aesthetic goals before recommending veneers. If there are underlying issues like untreated decay or gum disease, those need to be addressed first. Veneers placed on unhealthy teeth will not hold and will not look right. The foundation matters.
Veneers are also a permanent procedure. A small amount of enamel is removed from the front surface of each tooth to create room for the veneer to bond properly. That enamel does not grow back, which is why the consultation phase is so important. You want to make sure you understand what you are agreeing to before any prep work begins.
Step 1: The Consultation Appointment
Your first visit is all about information. No tools, no drills. Just a conversation, an exam, and a clear picture of your options.
During the consultation at All Smiles Dental, Dr. Alvarado will:
- Review your dental and medical history
- Examine your teeth, gums, and bite
- Take X-rays if needed to check the health of your underlying tooth structure
- Discuss which teeth you want to address and what result you are hoping for
- Talk through realistic expectations, including how veneers will look, how long they last, and what care they require
One thing that sets the consultation at All Smiles Dental apart is the Smile Preview. Dr. Alvarado takes images of your mouth and uses them to show you what your veneers would actually look like on your teeth before any work is done. This is not a generic simulation. It is a visualization based on your own smile, your tooth shape, and the result you are working toward together.
For most patients, seeing that preview is the moment everything becomes real. It turns an abstract idea into something concrete, which makes the decision significantly easier. It also ensures that you and Dr. Alvarado are aligned on the goal before a single tooth is touched.
Patients in and around Fort Lauderdale can expect a no-pressure environment at All Smiles Dental. The consultation is designed to give you clarity, not push you toward a decision before you are ready.
Step 2: Tooth Preparation and Impressions
Once you decide to move forward, your next appointment is where the physical work begins. This visit typically lasts one to two hours, depending on how many veneers you are getting.
During tooth preparation, Dr. Alvarado removes a thin layer of enamel from the front of each tooth that will receive a veneer. The amount removed is usually less than a millimeter, roughly the same thickness as the veneer itself. Local anesthesia is used, so most patients feel minimal discomfort during this step.
After preparation, precise impressions of your teeth are taken. These go to a dental lab where your custom veneers are crafted. This process typically takes one to two weeks. In the meantime, you will be fitted with temporary veneers to protect the prepared teeth and give you a sense of the final result.
Temporaries are not the finished product. They may look slightly different from your final veneers and they require a bit of extra care. Avoid biting into hard foods, and be gentle when flossing around them. They are doing a job, but they are not built to last.
Step 3: Final Veneer Placement
When your custom porcelain veneers come back from the lab, you come in for your placement appointment. This is the visit most patients have been looking forward to.
Dr. Alvarado will first remove your temporaries and clean the tooth surfaces. Then she will try each veneer on individually, checking the fit, shape, and color before permanently bonding anything. This is the moment to speak up if something does not feel right. Minor adjustments can still be made at this stage.
Once you and Dr. Alvarado are both satisfied with the result, the veneers are bonded to the teeth using a strong dental adhesive and cured with a special light. Any final shaping or polishing happens at this appointment as well. By the time you leave, you walk out with your permanent veneers in place.
Most patients are surprised by how immediate and natural the transformation feels. The process that seemed intimidating at the start typically finishes with a result they wish they had done sooner.
What Happens After Placement
Some mild sensitivity in the first few days after placement is normal. Your teeth have been prepared and bonded, and they need a short adjustment period. Over-the-counter pain relievers are usually sufficient if sensitivity is bothersome. Most patients return to their normal routine the same day.
Dr. Alvarado will schedule a follow-up visit to check on your bite and make sure the veneers are settling correctly. This is a quick appointment, but it is an important one. Small adjustments at this stage prevent bigger issues later.
Going forward, care for your veneers the same way you care for natural teeth. Brush twice daily, floss carefully, and keep up with your regular cleanings at All Smiles Dental. Porcelain is stain-resistant, but it is not indestructible. Avoid biting ice, hard candy, or using your teeth as tools.
If you grind your teeth at night, talk to Dr. Alvarado about a night guard. Grinding is one of the most common causes of early veneer failure, and it is entirely preventable with the right protection.
How Long Do Porcelain Veneers Last?

Porcelain veneers are built for the long term. Clinical studies show that approximately 96% of porcelain veneers remain functional after five years, and the majority continue performing well beyond ten years with proper care. According to the American Academy of Cosmetic Dentistry, porcelain veneers typically last between 10 and 15 years before replacement is considered.
The patients who get the best results are the ones who treat their veneers as an investment, not an afterthought. That means consistent hygiene, regular checkups, and protecting them from the habits that cause premature wear. Do that, and your veneers can be a permanent fixture of your smile for well over a decade.
Making Porcelain Veneers Work With Your Budget
One of the most common reasons people delay cosmetic dental treatment is cost. Porcelain veneers are an investment, and since they are considered an elective cosmetic procedure, dental insurance typically does not cover them. That is a real barrier for a lot of patients, and it is one that All Smiles Dental works actively to remove.
Dr. Alvarado offers multiple financing options so that the cost of veneers does not have to be the reason you put off a smile you have been thinking about for years.
CareCredit
CareCredit is one of the most widely used healthcare financing options in the country. It works like a credit card dedicated to medical and dental expenses, with promotional financing periods that allow you to pay off treatment over time, often with little to no interest if paid within the promotional window. Many patients already have a CareCredit account or can apply quickly online or in the office.
Lending Club Patient Solutions
Lending Club offers fixed-rate personal loans specifically for healthcare costs, including cosmetic dentistry. Unlike promotional financing, Lending Club gives you a set monthly payment and a clear payoff timeline from the start, which makes budgeting straightforward. It is a strong option for patients who prefer predictability over a revolving credit line.
In-House Payment Plans
All Smiles Dental also offers in-house payment arrangements for patients who prefer to work directly with the practice rather than through a third-party lender. Details are discussed during your consultation so you can find the approach that fits your financial situation.
The bottom line is that cost should not be the thing standing between you and a smile you feel confident in. During your consultation, Dr. Alvarado’s team will walk you through all available options and help you find a plan that makes sense. There is no pressure and no obligation on the spot.
Frequently Asked Questions About Porcelain Veneers in Fort Lauderdale
Can I see what my veneers will look like before committing?
Yes. During your consultation at All Smiles Dental, Dr. Alvarado takes photos of your mouth and creates a smile preview that shows you what your veneers would look like on your actual teeth. This gives you a realistic picture of your expected result before any preparation begins, so you can make your decision with full confidence. It is one of the most valuable parts of the consultation process.
How many appointments does it take to get porcelain veneers?
Most patients complete the veneer process in two to three appointments: a consultation, a preparation visit, and a final placement appointment. The timeline between the preparation and placement visits is typically one to two weeks while your custom veneers are being crafted at the dental lab. The entire process from first consultation to final placement usually takes three to six weeks.
Does getting porcelain veneers hurt?
The preparation appointment involves local anesthesia, so discomfort during the procedure is minimal for most patients. Some sensitivity in the days following preparation and placement is normal. It typically resolves on its own within a week. If you experience significant or lasting discomfort, contact All Smiles Dental right away.
How much do porcelain veneers cost in Fort Lauderdale?
The cost of porcelain veneers varies depending on how many teeth are being treated and the complexity of your case. Porcelain veneers are generally not covered by dental insurance since they are considered a cosmetic procedure. All Smiles Dental makes treatment more accessible through CareCredit, Lending Club Patient Solutions, and in-house payment plans. Pricing is reviewed in full during your consultation so there are no surprises, and you can explore financing options at that same visit with no obligation to commit on the spot.
Can I eat normally after getting veneers?
Yes, with some adjustments. While you are wearing temporaries between appointments, you should avoid very hard or sticky foods. Once your permanent veneers are placed, you can return to a normal diet. Common-sense habits apply long term: avoid biting ice, hard candy, or things that would stress any tooth, natural or veneered.
Are porcelain veneers right for everyone?
Not necessarily. Veneers require healthy teeth and gums as a foundation. Patients with significant decay, gum disease, or bite issues may need to address those conditions first. Some patients are better served by alternatives like composite bonding or orthodontic treatment depending on their goals. The consultation appointment with Dr. Alvarado at All Smiles Dental is where you find out exactly what is and is not right for your situation.
Ready to Schedule Your Veneer Consultation in Fort Lauderdale?
If you have been thinking about porcelain veneers and want to understand whether they are the right option for your smile, the best next step is a consultation with Dr. Natalia Alvarado at All Smiles Dental. She will walk you through your options, answer every question you have, and give you an honest picture of what to expect from the process and the result.
Contact All Smiles Dental in Fort Lauderdale today or visit allsmilesfl.com to request your cosmetic consultation. Serving patients throughout Broward County, including Pompano Beach, Deerfield Beach, and the surrounding communities.
About the Author
This post was written on behalf of All Smiles Dental, a cosmetic and general dental practice located at 2500 E. Commercial Blvd., Suite E, Fort Lauderdale, FL 33308. Dr. Natalia Alvarado, DMD, has been serving patients throughout Broward County with a focus on personalized cosmetic care, including porcelain veneers, smile makeovers, and facial aesthetics for over two decades. To learn more or request a consultation, visit allsmilesfl.com or call (954) 941-5550.
Sources
Clinical data on veneer survival rates via veenstradental.com
American Academy of Cosmetic Dentistry (AACD) — aacd.com